Schwangerschaft-Frauenfacharzt Dr. Bräutigam
Schwangerschaft u. Geburtshilfe
Ersttrimester-Screening
„Mit jedem Menschen wird eine Welt geboren“ (Heinrich Heine)
Eine schöne und aufregende Zeit liegt vor Ihnen, schon beim Kinderwunsch und natürlich auch bei Eintritt einer Schwangerschaft und der darauf folgenden Wochen und Monaten werden sie und vielleicht auch Ihrem Partner viele Gedanken, Fragen und auch einmal Sorgen beschäftigen
Als Vater von 3 Kindern weiß auch ich aus eigener Erfahrung, wie wichtig es ist in dieser Zeit der Schwangerschaft eine Begleitung und Betreuung zu haben, die einem selbst und vor allem natürlich der Frau Sicherheit gibt und für Fragen und Probleme in vertrauensvoller Atmosphäre zur Verfügung steht.
Ich würde mich freuen sie selbst und auch die werdenden Väter durch diese Zeit der Schwangerschaft bis hin zur Geburt begleiten zu dürfen.
Ersttrimester-Screening-Info
Ersttrimester-Screening-Info
Erweiterte Vorsorgeuntersuchungen
Die allermeisten Kinder kommen gesund zur Welt. Allerdings besteht bei Frauen jeden Alters ein sehr kleines Risiko, ein körperlich oder geistig behindertes Kind zur Welt zu bringen. Eine der häufigsten Ursachen ist das Down-Syndrom, bei dem der Fetus ein überzähliges Chromosom 21 erhält. Es ist mit zunehmendem Alter der Mutter häufiger, tritt aber auch bei jüngeren Frauen auf.
Die Diagnose
Der einzige Weg, einen derartigen Chromosomenfehler mit Sicherheit zu diagnostizieren, ist eine eine Punktion des Mutterkuchens ab der 11. Woche oder eine Punktion des Fruchtwassers ab der 16.Woche. Bei beiden Methoden werden Zellen gewonnen, die mit den Zellen des Kindes genetisch ident sind. Der Nachteil ist, dass eine von 100 Punktionen zu einer Fehlgeburt führt. Daher soll die Entscheidung zu einer Punktion auf der Basis der Wahrscheinlichkeitsrechnung getroffen werden. Der genaueste Weg, diese Wahrscheinlichkeit einzuschätzen, ist ein Screening-Test:
Der Combined Test
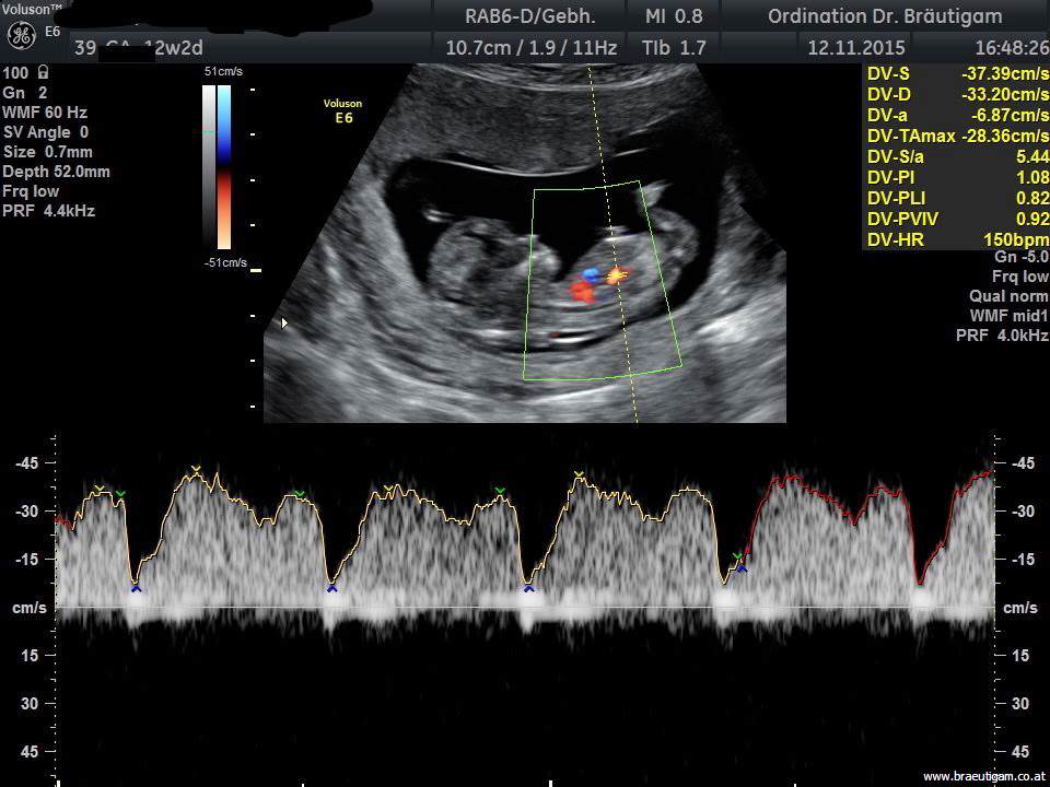
Der Combined Test berechnet das Trisomie-(Down-Syndrom)-Risiko aus:dem Alter der Mutterder Nackentransparenz Bestimmung von freiem ß-HCG und PAPP-A im Blut der Mutter Ultraschall in der 13.-14.Woche
Bei diesem Ultraschall wird die fetale Nackentransparenz (NT) gemessen, das ist eine Flüssigkeitsansammlung unter der Nackenhaut des Feten. Alle Kinder haben etwas Flüssigkeit unter der Haut, und bei Feten mit Down-Syndrom ist diese Flüssigkeit häufig vermehrt.
Zu diesem Zeitpunkt bestätigt dieser Ultraschall den Geburtstermin und untersucht die kindlichen Organe, die bereits entwickelt sind.
Außerdem können wichtige Merkmale von Mehrlingsschwangerschaften diagnostiziert werden.
Serum-Screening in der 13.-14.Woche
Durch eine Blutabnahme der Mutter können die Serumspiegel von zwei Hormonen aus dem Mutterkuchen gemessen werden. Bei Schwangerschaften mit Down-Syndrom sind die Serumspiegel von freiem ß-HCH häufig erhöht und die Serumspiegel von PAPP-A häufig vermindert.
Die Entdeckungsraten
Durch reines Alters-Screening werden nur 35% aller Feten mit Down-Syndrom entdecktNT-Screening entdeckt ungefähr 75% aller Babys mit Down-SyndromDer Combined Test ist mit einer Entdeckungsrate von 90% am effektivstenNach der Ultraschall- und Blutuntersuchung wird per Computer das Trisomie-Risiko individuell für Ihr Kind berechnet. Je größer das Risiko eines Chromosomalendefektes, um so eher ist eine Punktion angezeigt. Diese Entscheidung treffen Sie mit Ihrem Partner. Als Richtlinie wird eine Punktion bei einem berechneten Risiko empfohlen, das höher als 1: 100 ist (also 1% beträgt).
Ablauforganisation
Ich freue mich, als FMF zertifizierter Arzt, diese Unteruchung jetzt auch in meiner Ordination in angenehmer Atmosphäre anbieten zu können.
Die Preise richten sich genau nach den in Oberösterreich geltenden Empfehlungen.
Ersttrimester-Screening € 100,00
Combined-Test € 200,00
Dieses Informationsblatt können Sie hier herunterladen!
